SEAJCRR JULY-AUG 3 (4) eISSN: 2319 – 1090 Page 794

Aim: Analyzing osteomyelitis in the foot of the diabetic patients using Amit Jain’s classification for diabetic foot osteomyelitis. Materials and Method: A retrospective analysis was carried from March 2011 to February 2014 in Department of Surgery of St Johns medical college, Bangalore, India. Results: 21 patients with diabetic foot osteomyelitis were included in this study. 95.23% patients had unilateral osteomyelitis. Most common type of diabetic foot osteomyelitis was type 1 osteomyelitis with 57.14% of the patients being affected with this type. 90.48% patients with osteomyelitis had underlying ulcers and they belonged to type 3 diabetic foot complications. 33.33% of the patient had Subtype C and it was the most common subtype seen. Type 3 osteomyelitis was the commonest cause for major amputation. Conclusion: Diabetic foot osteomyelitis is one of the most frequent complications of ulcers. In this study, most cases of the osteomyelitis belonged to type 3 diabetic foot complications. Type 1 diabetic foot osteomyelitis was the most common type of osteomyelitis seen in this study. This new Amit Jain’s classification for diabetic foot osteomyelitis helps in specifying the type of osteomyelitis occurring in clinical practice and also the type of osteomyelitis commonly responsible for the major amputations.
Keywords: Amit Jain’s classification, Diabetic foot, Osteomyelitis 1 MBBS, DNB, FPS – Assistant Professor, 2 MBBS, DNB – Associate Professor Department of Surgery, St Johns Medical College, Bangalore Corresponding author mail: dramitkumarcj@yahoo.in

INTRODUCTION

Around 15% of diabetic patients will develop an ulcer in their lifetime1. The ulcers are prone for infection that can deteriorate rapidly and involve deeper structures like bone leading to osteomyelitis2. The term osteomyelitis was first coined by Nelaton in 18443. Osteomyelitis accounts for around 10 20% of diabetic foot ulcers4, 5, 6 and it can be as high as 60%5. In spite of the fact that it has a high frequency, treatment of osteomyelitis of the foot continues to be controversial and there are no optimal treatment guidelines yet6. Further, there was no specific classification for diabetic foot SEAJCRR JULY-AUG 3 (4) eISSN: 2319 – 1090 Page 795 osteomyelitis for many decades. Many studies done on diabetic foot did not even mention about the type of osteomyelitis that occurred in their study7, 8, 9. Amit Jain’s classification for diabetic foot osteomyelitis10 is the first new specific classification for osteomyelitis occurring in diabetic foot [Table 1]. This study aims at analyzing the diabetic foot osteomyelitis using
Types of osteomyelitis Description
Type 1 Osteomyelitis of fore foot
A Probe to bone positive but x ray do not show osteomyelitis
B X ray shows cortical erosions
C X ray shows completely destroyed bone or joint
D X ray shows involvement of more than one bone or joint
Type 2 Osteomyelitis of mid foot
A Probe to bone positive but x ray do not show osteomyelitis
B X ray shows cortical erosions
C X ray shows destroyed bone or joint
D X ray shows involvement of more than one bone or joint
Type 3 Osteomyelitis of hind foot
A Probe to bone positive but x ray do not show osteomyelitis
B X ray shows cortical erosions
C X ray shows destroyed bone or joint
D X ray shows involvement of more than one bone or joint

Table here

CORRESPONDING AUTHOR: Dr Amit Kumar C Jain

Table 1 showing the new Amit Jain’s classification of diabetic foot osteomyelitis.
ABSTRACT: Offloading of the wounds in the foot is one of the most important and integral part of wound management to achieve optimal successful results. Various offloading modalities have been used for decades with each having their own merits and demerits. However, astonishingly, as far as the author knows, as an expert diabetic foot surgeon, there is no classification till date that divides offloading devices in appropriate distinct group. The Author proposes new different classifications for offloading devices/system in diabetic foot for the first time in the literature. It is a novel attempt to improvise and standardize diabetic foot practices around the world and is another component of Amit Jain’s principle and practice of diabetic foot. This offloading classification can also be used for non-diabetic foot wounds.

MATERIALS AND METHOD:

A retrospective analysis was carried in the Department of Surgery of St Johns medical college, Bangalore, India, which is a tertiary care institute of repute. All the osteomyelitis cases treated by the authors were studied. The study period was from March 2011 to February 2014. The following where the inclusion and exclusion criteria. INCLUSION CRITERIA

1] Diabetes mellitus.

2] All the patients seen by the authors both as in patients as well as outpatient were included in the study.

3] Patients operated elsewhere and who came to us for further management were also included in this study

EXCLUSION CRITERIA

1] Non diabetics.

2] Patient treated in other units or department were excluded.

3] Patients with incomplete data were excluded from the study.

RESULTS

A total of 21 patients with diabetic foot osteomyelitis were included in this study. There were 14 males [66.67%] and 7 females [33.33%]. The average age for males was 49.2 years with age ranging from 39 years – 66 years and average age for females was 51.5 years with age ranging from 41 years – 64 years. 20 patients [95.23%] had unilateral osteomyelitis and one patient [4.76%] had bilateral osteomyelitis. 19 patients [90.48%] with osteomyelitis had underlying ulcers [Figure 1] and these were type 3 diabetic foot complication whereas 2 patients [9.52%] did not have ulcers but abscess and they belonged to type 1 diabetic foot
Figure 1 showing a non healing ulcer with abscess in diabetic foot.
Most common type of diabetic foot osteomyelitis was type 1 osteomyelitis with 12 patients [57.14%] followed by type 3 osteomyelitis[Table 2] with 5 patients [23.81%].
Table 2 Distribution of Gender according to the Amit Jain’s classification of diabetic foot Osteomyelitis.
SL NO TYPE MALES FEMALES TOTAL [PERCENTAGE]
1) Type 1 Osteomyelitis 9 3 12 [57.14%]
2) Type 2 Osteomyelitis 2 2 4 [19.05%]
3) Type 3 Osteomyelitis 3 2 5 [23.81%]
Total 14 7 21

An Analysis of osteomyelitis in Diabetic Foot using Amit jain’s Classification of Diabetic foot osteomyelitis

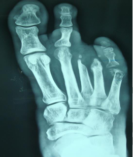
Figure 2 showing the radiograph of patient in figure 1. Note this is type 1-B diabetic foot osteomyelitis according to Amit Jain’s classification of diabetic foot osteomyelitis affecting the 5th metatarsal.
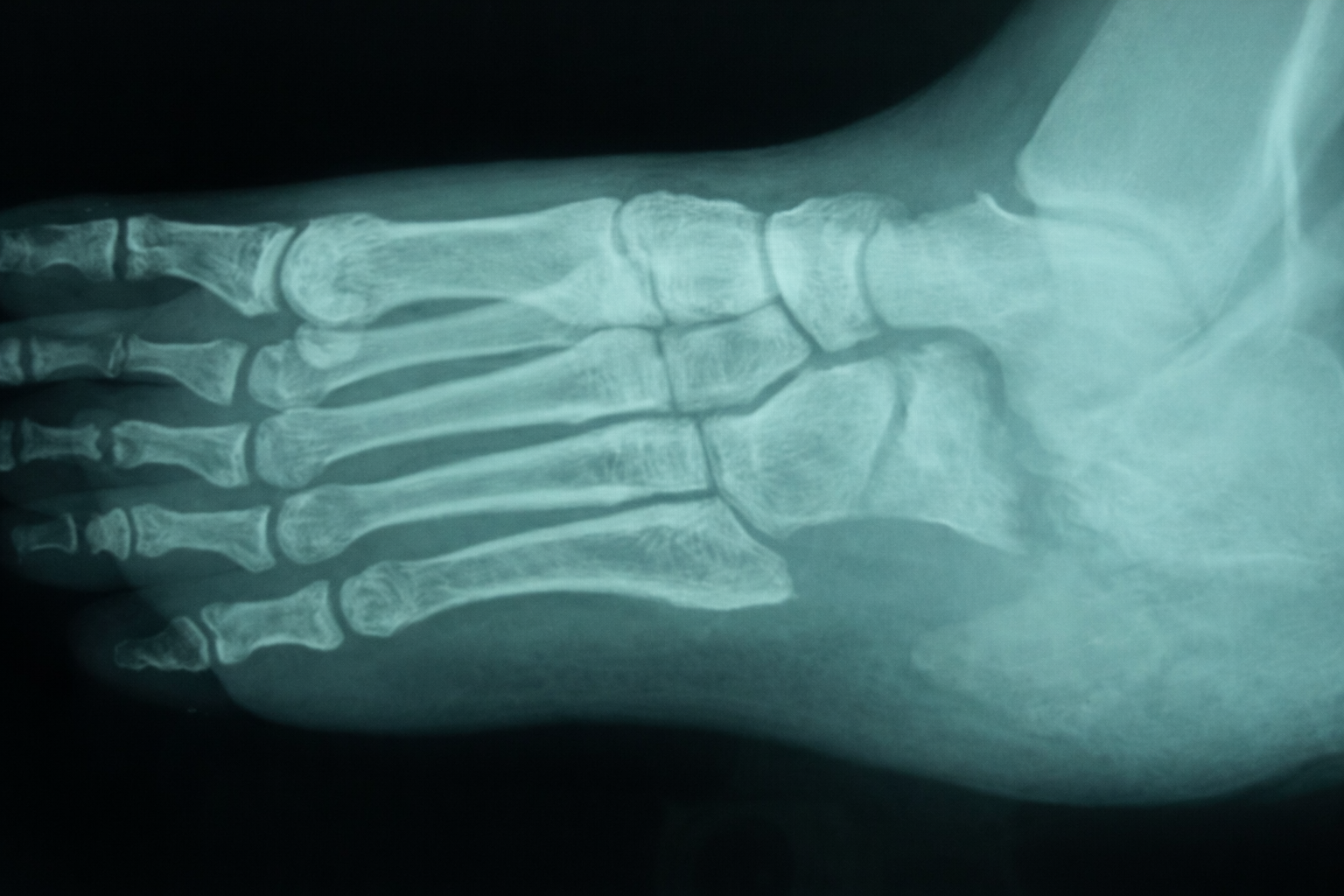
Figure 2showing radiograph of a patient with osteomyelitis of calcaneum. This is type 3-C diabetic foot osteomyelitis according to Amit Jain’s classification.
2 cases [9.52%] of osteomyelitis had associated charcot foot and they were type 2 osteomyelitis. There was no mortality in this study and none of the patients had underlying peripheral vascular disease.

Original article An Analysis of osteomyelitis in Diabetic Foot using Amit jain’s Classification of Diabetic foot osteomyelitis

TYPE OF OSTEOMYELITIS SUBTYPES
A B C D
TYPE 1 3 4 4 1
TYPE 2 0 0 1 3
TYPE 3 1 1 2 1
TOTAL 4 [19.05%] 5 [23.81%] 7 [33.33%] 5 [23.81%]
Table 3 showing distribution of cases into different types and subtypes of osteomyelitis according to Amit Jain’s classification of diabetic foot osteomyelitis.

Around 7 patients [33.33%] with diabetic foot osteomyelitis underwent major amputation [Table
4] with type 3 osteomyelitis being the commonest cause of major amputation.

GENERAL CLASSIFICATION 2 – AMIT JAIN’S OFFLOADING CLASSIFICATION BASED ON AIM OF OFFLOADING

Sr No. SURGICAL PROCEDURE TYPE 1 TYPE 2 TYPE 3 TOTAL
1) CONSERVATIVE SURGERY 5 0 1 6 [28.57%]
2) MINOR AMPUTATION 7 1 0 8 [38.09%]
3) MAJOR AMPUTATION 0 3 4 7 [33.33%]
Table 4 showing showing distribution of different surgeries according to Amit Jain’s classification of diabetic foot osteomyelitis.

DISCUSSION

Diabetic foot osteomyelitis continues to be one of the most common challenging entities to diagnose and manage accurately10. Osteomyelitis and diabetic foot infection are common entities with serious complications that can result in lower extremity amputation11. Osteomyelitis should always be considered when the ulcer fails to heal1. Infact, osteomyelitis in diabetic foot occurs via contiguous spread from an adjacent infected wound in 94% of the cases2. In our study, all cases of osteomyelitis were due to local pathology, with 90.48% cases having underlying ulcer. Such cases belong to type 3 diabetic foot complications12. Various classifications have been suggested for osteomyelitis in general of which Waldogel and Cierny- Mader are the two most commonly employed classification13, 14. Amit Jain’s classification for diabetic foot osteomyelitis15, 16 is a new classification specific for diabetic foot osteomyelitis. Around 90% of diabetic foot ulcers are known to occur in forefoot, 1.5% in the midfoot and 4.5% in the calcaneus1. Hence, forefoot is the most likely involved anatomical region for osteomyelitis. Around 7-8% of the cases have calcaneal osteomyelitis17, 18. In our study, 57.14% had forefoot osteomyelitis [type 1 diabetic foot

Original article An Analysis of osteomyelitis in Diabetic Foot using Amit jain’s Classification of Diabetic foot osteomyelitis

osteomyelitis] and 23.81% had type 3 osteomyelitis which involved calcaneum. The possible reason for such a high incidence of hindfoot osteomyelitis compared to that in the literature is due to the fact that most physicians avoid treating calcaneal osteomyelitis and refer to higher centre or specialist surgeon for further management as the results with hindfoot osteomyelitis are not quite favourable. Diagnosis of osteomyelitis can sometimes be difficult in diabetic foot, especially in early cases11, 19, where x rays may not show any changes. In such cases magnetic resonance imaging {MRI} or bone scintigraphy may be required. MRI has been shown to have the highest sensitivity and specificity [>90%] for diagnosing osteomyelitis2. The only problem occurs when one has to distinguish osteomyelitis from charcot foot5. In our study, 9.52% of cases had charcot foot along with osteomyelitis. In one study6, 64.3% of patients with osteomyelitis had underlying peripheral vascular disease whereas in our study, none of the patient had peripheral vascular disease. It is quite obvious due to the fact that majority of diabetic foot patients in India suffer from neuropathy and infection16, 20. Management of diabetic foot osteomyelitis varies from centre to centre and region to region5. Some specialist believes in management of osteomyelitis with antibiotics alone whereas some believe in early surgical treatment5. Conservative surgery1, 6 is defined as procedure in which no amputation of any part of the foot is undertaken and includes debridement of non viable/infected tissues and bones. Major amputation includes below knee and above knee amputation. In literature, major amputation from osteomyelitis ranges from 8 – 25%4, 5, 6, 11. In our study, 33.33% had major amputation whereas only 28.57% had conservative surgical approach. There was no mortality in our series. This study on osteomyelitis using Amit Jain’s classification osteomyelitis provides a better insight on osteomyelitis and for diabetic foot henceforth the classification would help to form a better communication tool. This new classification is one of the component of Amit Jain’s Principle and Practice of diabetic foot consisting of newer concepts in diabetic foot like typings, grading and scoring the diabetic foot complications to improvise and standardize the practice of diabetic foot around the world12, 16, 21, 22, 23.

Original article An Analysis of osteomyelitis in Diabetic Foot using Amit jain’s Classification of Diabetic foot osteomyelitis

type of osteomyelitis the patient is affected commonly and also the type of osteomyelitis responsible for major amputation.

REFERENCES

  1. Crim BE, Wukich DK. Osteomyelitis of the foot and ankle in the diabetic population: Diagnosis and treatment. J Diab Foot Comp. 2009;1(2):26–35.

  2. Nube V, Bolton T, Chua E, Yue D. Osteomyelitis in the diabetic foot: What lies beneath. Primary Intention. 2007;15(2):49–57.

  3. Solagberu BA. A new classification of osteomyelitis for developing countries. East Afr Med J. 2003;80(7):373–378.

  4. Game F. Management of osteomyelitis of foot in diabetes mellitus. Nat Rev Endocrinol. 2010;6:43–47.

  5. Game FL. Osteomyelitis in the diabetic foot: Diagnosis and management. Med Clin North Am. 2013;97:947–956.

  6. Aragon-Sanchez FJ, Cabrera-Galvan JJ, Quintana-Marrero Y, et al. Outcomes of surgical treatment of diabetic foot osteomyelitis: A series of 185 patients with histopathological confirmation of bone involvement. Diabetologia. 2008;51(11):1962–1970.

  7. Shah SF, Hameed S, et al. Evaluation and management of diabetic foot: A multicentric study conducted at Rawalpindi and Islamabad. Ann Pak Inst Med Sci. 2011;7(4):233–237.

  8. Muqim RU, Griffin S, Ahmed M. Evaluation and management of diabetic foot according to Wagner’s classification: A study of 100 cases. J Ayub Med Coll Abbottabad. 2003;15(3):39–42.

  9. Solanki K, Parmar H, Gohil V, Shah S. The surgical management of diabetic foot. NJIRM. 2010;1(4):1–3.

  10. Hoffman WB, Khan KH, Kosinski M. Current concepts in treating diabetic foot osteomyelitis. Podiatry Today. 2009;22(10):1–7.

  11. Widatalla AH, Mahadi SEI, Shawar MA, et al. Diabetic foot infections with osteomyelitis: Efficacy of combined surgical and medical treatment. Diabetic Foot & Ankle. 2012;3:1–6.

  12. Jain AKC. A new classification of diabetic foot complications: A simple and effective teaching tool. J Diab Foot Comp. 2012;4(1):1–5.

  13. Carek PJ, Dickerson LM, Sack JL. Diagnosis and management of osteomyelitis. Am Fam Physician. 2001;63(12):2413–2421.

  14. Mader JT, Shirtliff M, Calhoun JH. Staging and staging application in osteomyelitis. Clin Infect Dis. 1997;25:1303–1309.

  15. Jain AKC. A new classification of diabetic foot osteomyelitis. OA Case Reports. 2013;2(3):121.

  16. Kalaivani V, Vijayakumar HM. Diabetic foot in India: Reviewing the epidemiology and Amit Jain’s classifications. Sch Acad J Biosci. 2013;1(6):305–308.

  17. Wang EHM, Simpson S, Bennett GC. Osteomyelitis of the calcaneum. J Bone Joint Surg. 1992;74-B:906–909.

  18. Bhattacharyya A, Das R. Gaenslen’s split heel approach for treatment of chronic osteomyelitis of the calcaneus: A series of three cases. FAOJ. 2010;3(11):3.

  19. Lipsky BA. Osteomyelitis of the foot in diabetic patients. Clin Infect Dis. 1997;25:1318–1326.

  20. Jain AKC, Viswanath S. Distribution and analysis of diabetic foot. OA Case Reports. 2013;2(12):117.

  21. Jain AKC. The new scoring system for predicting the risk of major amputations in patients with diabetic foot complications. Med-Science. 2014;3(1):1068–1078.

  22. Jain AKC. A new classification (grading system) of debridement in diabetic lower limb: An improvisation and standardization in practice of diabetic limb salvage around the world. Med-Science. 2014;3(1):991–1001.

  23. Jain AKC. A new staging system for cellulitis in diabetic lower limbs: Improvising diabetic foot practice around the world. J Diab Foot Comp. 2014;6(2):48–53.

AUTHORS’ CONTRIBUTIONS

Dr Amit Kumar- Data collection, Conceptualization, design and preparation of manuscript. Dr Viswanath – critical revision and data collection.

AUTHORS’ CONTRIBUTIONS

Dr Amit Kumar- Data collection, Conceptualization, design and preparation of manuscript. Dr
Viswanath – critical revision and data collection.

Leave a Reply

Your email address will not be published. Required fields are marked *